|

|

|

Full-Arch Dental Implants in Phoenix, AZ 

Replace Missing Teeth with All-on-4® Full-Arch Dental Implants

Restore your smile with a permanent full-arch solution supported by just four dental implants.

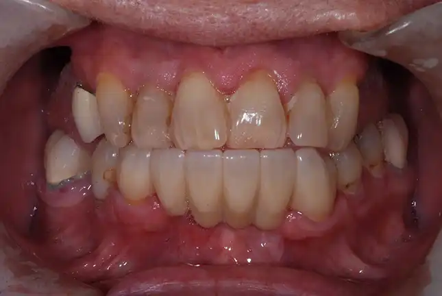
All-on-4® dental implants in Phoenix provide a stable, natural-looking alternative to dentures, allowing many patients to regain the ability to eat, speak, and smile with confidence—often with immediate function. 

Implant Treatment by a Trusted Board-Certified Oral & Maxillofacial Surgeon 

  • 25+ Years of Implant Experience
  • 20,000+ Permanent Dental Implants Placed
  • 3,000+ Lives Changed 

Free Implant Consultation with CT Scan

Schedule Your Free Implant Consultation

Interested in restoring your smile with full-arch dental implants or All-on-4® treatment?

Fill out the form below to request your free consultation with CT scan, and our team will contact you shortly to schedule your visit. 

Restore Your Smile with Full-Arch Dental Implants

If you are missing most or all of your teeth, full-arch dental implants may provide a life-changing solution.


Unlike traditional dentures that sit on top of the gums, implant-supported teeth are anchored securely in the jaw using dental implants. This allows for a stable, natural-feeling restoration that improves comfort and function.


At Butura Oral & Dental Implant Surgery, we offer advanced full-arch implant solutions designed to restore your smile and improve your quality of life.

Advanced Full-Arch Implant Solutions

Our oral surgery practice offers several advanced implant treatments to restore a full arch of teeth. 

All-on-4® Dental Implants 

A full-arch prosthesis supported by four strategically placed dental implants. This approach can often provide immediate function for eligible patients. 

Zygomatic Dental Implants 

For patients with severe bone loss, zygomatic implants anchor into the cheekbone rather than the jawbone, allowing many patients to receive implants without extensive bone grafting. 

Full-Mouth Dental Implants 

A comprehensive treatment designed to restore both upper and lower arches, helping patients regain full oral function and aesthetics.

Dental Implants

Dental implants act as artificial tooth roots that support implant crowns, bridges, or full-arch restorations. 

Why Choose Butura Oral & Dental Implant Surgery

Choosing the right surgeon is essential when considering full-arch dental implants or All-on-4® treatment. At Butura Oral & Dental Implant Surgery, patients receive care from an experienced oral surgeon who specializes in advanced implant procedures designed to restore comfort, function, and confidence. 

Patients choose our practice for full-arch dental implant treatment because we offer: 

Board-Certified Oral & Maxillofacial Surgeon

Modern Surgical Technology

Dr. Caesar Butura specializes in advanced dental implant surgery and complex implant cases. 

Our practice uses advanced imaging and surgical techniques to improve treatment precision and patient outcomes. 

Extensive Implant Experience

Comprehensive Oral Surgery Care

With 25+ years of experience, over 20,000 dental implants placed, and 3,000+ patients helped, our team has the experience needed for complex implant procedures. 

From tooth extractions and bone grafting to implant placement and full-arch restoration, patients can receive complete care in one location. 

Advanced Full-Arch Implant Solutions

Patient-Focused Treatment

We provide specialized treatments including All-on-4® dental implants, zygomatic implants, and full-arch implant restorations. 

Our goal is to restore your ability to eat comfortably, speak clearly, and smile with confidence using long-lasting implant-supported teeth.

Meet the Doctor 

Dr. Caesar C. Butura

Board-Certified Oral & Maxillofacial Surgeon

Dr. Caesar Butura brings more than 25 years of experience in oral surgery and dental implant procedures, specializing in advanced treatments such as full-arch and zygomatic dental implants. As a board-certified oral and maxillofacial surgeon, he focuses on helping patients restore function, confidence, and quality of life through modern implant solutions.

Over the course of his career, Dr. Butura has placed more than 20,000 dental implants, helping thousands of patients regain healthy, functional smiles. 

Dr. Butura’s expertise in oral surgery and implant dentistry has earned him multiple professional recognitions, including Diplomate of the American Board of Oral & Maxillofacial Surgeons, Fellow of the American Association of Oral & Maxillofacial Surgeons, and recognition among America’s Top Dentists in Oral & Maxillofacial Surgery.

He also received the Birnberg Research Award at Columbia University, and the practice is recognized as a certified ZAGA Center in Phoenix, specializing in advanced zygomatic implant solutions. 

Are You a Candidate for Full-Arch Dental Implants?

Many patients who struggle with missing teeth or loose dentures may qualify for full-arch implant treatment.

You may be a candidate if you:

  • Are missing most or all teeth
  • Wear dentures and want a permanent solution
  • Have difficulty chewing with dentures
  • Want a more stable and natural-looking smile 

Even patients with significant bone loss may qualify through treatments like zygomatic implants.


The best way to determine eligibility is through a personalized consultation and CT scan. 

Financing & Payment Options

At Butura Oral & Dental Implant Surgery, we strive to make advanced implant treatment accessible by offering convenient payment options and flexible financing solutions.

Payment Methods Accepted 

For your convenience, we accept:

Visa, MasterCard, and American Express, as well as healthcare financing through CareCredit®, Lending Club Patient Solutions, and Proceed Finance. 

Flexible Financing Available

Financing options allow qualified patients to move forward with treatment using manageable monthly payments, often with low fixed rates and no prepayment penalties. Our team can help you explore financing options and determine a plan that fits your budget.

Insurance Assistance

While many implant procedures may have limited insurance coverage, our team works closely with patients to maximize available benefits and assist with insurance claims whenever possible.

If you have questions about insurance, financing, or payment options, our team is happy to help. 

*Dental Implants not covered under insurance

What Our Patients Are Saying

Start adding elements into your carousel.

© Copyright 2025 • Butura Oral & Dental Implant Surgery